親知らずの症状 SYMPTOMS

親知らずの症状 SYMPTOMS
親知らずに関する自覚症状として、『腫れ・痛み、少しずつ口の中に生えてきた気がする、歯並びの乱れ』これらを主訴に受診される患者様が多いです。


case腫れ・痛み
親知らずの周りの歯茎は、
● 中途半端に生えている
● 変な方向に生えている
● 奥まで歯ブラシが届かない
などさまざまな理由で汚れが停滞しやすい状態です。
そのため常に細菌との戦いを強いられます。
普段は体力、免疫力で細菌の活動を抑えていますが、季節の変わり目など、体調の変化により免疫力が低下し、細菌が増殖しやすい環境となる場合があります。
細菌が増殖し、炎症が強くなってくると歯茎の違和感・腫れ・痛みなどの症状が出てくる場合があります。
また自覚症状が無くても、知らないうちに何度も炎症を起こしているケースも多々あります。
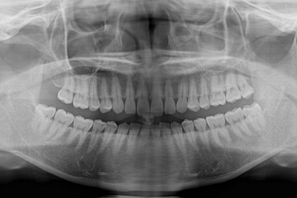
まずはレントゲンを撮影し、ご自身の親知らずの状態を確認することが大切です。
● 中途半端に生えている
● 変な方向に生えている
● 奥まで歯ブラシが届かない
などさまざまな理由で汚れが停滞しやすい状態です。
そのため常に細菌との戦いを強いられます。
普段は体力、免疫力で細菌の活動を抑えていますが、季節の変わり目など、体調の変化により免疫力が低下し、細菌が増殖しやすい環境となる場合があります。
細菌が増殖し、炎症が強くなってくると歯茎の違和感・腫れ・痛みなどの症状が出てくる場合があります。
また自覚症状が無くても、知らないうちに何度も炎症を起こしているケースも多々あります。
まずはレントゲンを撮影し、ご自身の親知らずの状態を確認することが大切です。
case最近親知らずが生えてきた気がする
親知らずは18歳頃を目安に生えてきます。しかし、実際にはもっと年齢を重ねてから親知らずが生えてくる方も多くいらっしゃいます。
しかし、これらケースは結果的には抜歯になってしまうことが多いです。親知らずは18歳頃を目安にそれ以上生えてくる力は非常に弱くなります。これは『歯の作られ方』に理由があります。
歯は頭の部分から根の部分に向かって作られていきます。そして根の先端まで完成するとそれ以上生えようとする力を急激に失っていきます。
例えるなら、ロケットのエンジンの燃料が切れたような状態となります。惰性で多少は生えてきますが、しっかりと生えるほどの力は残っていません。そのため中途半端に生えた状態となり、感染を起こすケースが多くなります。
しかし、これらケースは結果的には抜歯になってしまうことが多いです。親知らずは18歳頃を目安にそれ以上生えてくる力は非常に弱くなります。これは『歯の作られ方』に理由があります。
歯は頭の部分から根の部分に向かって作られていきます。そして根の先端まで完成するとそれ以上生えようとする力を急激に失っていきます。
例えるなら、ロケットのエンジンの燃料が切れたような状態となります。惰性で多少は生えてきますが、しっかりと生えるほどの力は残っていません。そのため中途半端に生えた状態となり、感染を起こすケースが多くなります。
case歯並びの乱れ
特に下の前歯のガタガタへの影響をおっしゃる多くいらっしゃいます。
親知らずは全体の歯並びに影響を与えることがあります。そのため、歯並びに影響が出る前に治療をおすすめするケースもあります。
まずはレントゲンを撮影しご自身の親知らずの状態を確認することが大切です。
親知らずは全体の歯並びに影響を与えることがあります。そのため、歯並びに影響が出る前に治療をおすすめするケースもあります。
まずはレントゲンを撮影しご自身の親知らずの状態を確認することが大切です。
親知らず×虫歯・歯周病 WISDOM TEETH × CAVITIES & PERIODONTAL DISEASE
親知らずが原因で虫歯?歯周病?
結論から申し上げますと、親知らずが原因で虫歯や歯周病が発生することは、非常に多いです。そうなる前に一度専門家にチェックを受けることをおすすめします。
case親知らず×虫歯
ここで一番注意したいのは『下の歯で横に向いている親知らず』です。
このタイプの親知らずは、手前の歯との隙間に汚れが溜まりやすい状態です。
その結果、手前の歯を虫歯にしてしまうケースが非常に多いです。
さらに、この状態での虫歯は発生位置が通常と異なります。
最初から非常に深い位置での虫歯になってしまい、気づいた時には処置不能といったことも起こり得ます。
そのため、症状が無くても抜歯をおすすめする場合があります。
このタイプの親知らずは、手前の歯との隙間に汚れが溜まりやすい状態です。
その結果、手前の歯を虫歯にしてしまうケースが非常に多いです。
さらに、この状態での虫歯は発生位置が通常と異なります。
最初から非常に深い位置での虫歯になってしまい、気づいた時には処置不能といったことも起こり得ます。
そのため、症状が無くても抜歯をおすすめする場合があります。
case親知らず×歯周病
親知らずの周りの歯茎は、
● 中途半端に生えた状態
● 中途半端に生えた状態
などさまざまな理由で感染を起こしやすい部位です。
そのため部分的に歯周病が進行しやすい場所です。
親知らずの炎症が原因で一度出来てしまった歯周ポケットは親知らずを抜いても手前の歯に悪影響を及ぼす可能性があります。
そのため、症状が無くても抜歯をおすすめする場合があります。
まずはレントゲン撮影や歯周病検査を行い、ご自身の状態を確認することが大切です。
● 中途半端に生えた状態
● 中途半端に生えた状態
などさまざまな理由で感染を起こしやすい部位です。
そのため部分的に歯周病が進行しやすい場所です。
親知らずの炎症が原因で一度出来てしまった歯周ポケットは親知らずを抜いても手前の歯に悪影響を及ぼす可能性があります。
そのため、症状が無くても抜歯をおすすめする場合があります。
まずはレントゲン撮影や歯周病検査を行い、ご自身の状態を確認することが大切です。